Volver al Directorio

Odontología GeneralVerificado
LUX Dental Studio TECAMACHALCO
★5(51 reseñas)
Tecamachalco, Estado de México
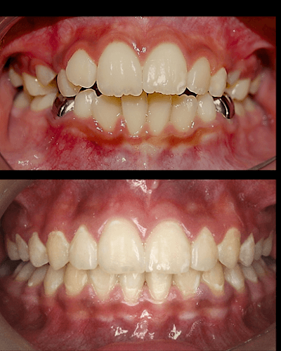
Galería de Instalaciones

Sobre el Especialista
El consultorio de LUX Dental Studio TECAMACHALCO se ha consolidado como una de las mejores opciones en Tecamachalco para tratamientos de Odontología General. Nuestro enfoque se centra en proporcionar una atención dental integral, utilizando tecnología de vanguardia y materiales de la más alta calidad.
Comprometidos con la excelencia médica y el trato humano, ofrecemos un ambiente seguro y confortable para todos nuestros pacientes.
Servicios Principales
- ✓ Odontología General
- ✓ Limpieza Dental
- ✓ Diagnóstico Digital
- ✓ Urgencias 24h
- ✓ Estética Dental
- ✓ Rehabilitación
Otros especialistas en Tecamachalco

Tecamachalco
Odontología General
Global Health -Centro Clínico Integral
★★★★

Tecamachalco
Ortodoncia
GN Ortodoncia Especializada, Consultorio Dental Tecamachalco, Pue.
★★★★★
🦷
Tecamachalco
Odontología General
Dentistas Militares Tecamachalco
★★★★★
🦷
Tecamachalco
Odontología General
Consultorio Medico y Dental Tecamachalco
★★★★
Información de Contacto
📞222 184 8062🌐Visitar Sitio Web
🕒
Horarios de Atención:
- lunes: 9:00–19:30
- martes: 9:00–19:30
- miércoles: 9:00–19:30
- jueves: 9:00–19:30
- viernes: 9:00–19:30
- sábado: 9:00–14:00
- domingo: Cerrado
Al agendar aceptas nuestros términos de servicio.