Volver al Directorio

Odontología GeneralVerificado
David Porras Dentista Chilpancingo
★4.3(8 reseñas)
Chilpancingo, Guerrero
Galería de Instalaciones

Sobre el Especialista
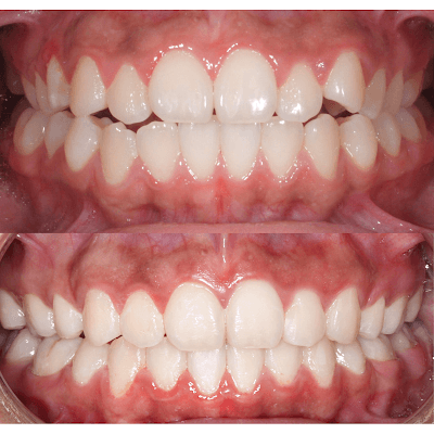
El consultorio de David Porras Dentista Chilpancingo se ha consolidado como una de las mejores opciones en Chilpancingo para tratamientos de Odontología General. Nuestro enfoque se centra en proporcionar una atención dental integral, utilizando tecnología de vanguardia y materiales de la más alta calidad.
Comprometidos con la excelencia médica y el trato humano, ofrecemos un ambiente seguro y confortable para todos nuestros pacientes.
Servicios Principales
- ✓ Odontología General
- ✓ Limpieza Dental
- ✓ Diagnóstico Digital
- ✓ Urgencias 24h
- ✓ Estética Dental
- ✓ Rehabilitación
Otros especialistas en Chilpancingo
Información de Contacto
📞747 156 4057
🕒
Horarios de Atención:
- Horario no disponible
Al agendar aceptas nuestros términos de servicio.



